磁共振伪影是临床扫描中遇到最麻烦的一种现象。
影像检查的本质是通过影像技术通过影像图像来反映客观人体的解剖结构、解剖特征,这点无论是X线、CT、B超及MRI都是相同的。所以,影像图像是对客观物体的数字化反应,利用影像技术将被成像物体的特征用图像形式来表达。
图像伪影(Artefact或Artifact)是指影像图像中出现的与被成像物体无关的各种影像表现。广义来说,任何一幅影像图像都不可能100%完全表现客观物体的结构,都存在或多或少的一些伪影,这是影像技术采集信号重建图像不可避免出现的。而狭义的伪影则主要是指那些不是来源于被成像物体,又会在实际临床应用中对放射科医生产生干扰、影响其判读的一些影像。

图1:MRI伪影的来源
在磁共振成像的各个阶段都有可能产生伪影。
一般可以将伪影来源进行分类,比如患者(被检查者相关伪影)、设备硬件伪影、软件算法产生的伪影、操作者(技师)操作不当产生的伪影、外界环境导致的伪影。
但是这种分类方法不适用于临床伪影解决方案及处理伪影策略的选择。所以,根据伪影的来源及处理方式,可以把伪影分为:Tissue-related Artifacts、Motion-related Artifacts、Technique-related Artifacts。或者分为:技术系统类伪影和临床扫描类伪影。

图2:根据临床决策的伪影分类
前面公众号文章里重点介绍了第Ⅰ类伪影(也就是调整参数可以解决的)及第Ⅱ类伪影(也就是改变操作习惯可以解决的)。
前文链接:
而第Ⅲ类伪影,由于是硬件系统故障直接导致的,一般这类伪影必须依靠专业的工程师来检测排查及通过设备调试来解决。所以,如果出现这类伪影,医院里的老师是很难解决的。
虽然第Ⅲ类伪影必须由专业的工程师来处理,但是正确的识别这类伪影也非常重要,所以本期也详细介绍这一类伪影。
一般系统硬件故障导致的伪影表现都非常明显或者严重,都会严重的影响图像质量,干扰医生对影像图片的判读。所以一旦出现硬件系统相关伪影硬件系统,一般会非常明细的识别。
01
Ghosting伪影
Ghosting伪影又叫做鬼影,国内很多资料就翻译为鬼影,其实表述为重影是比较恰当的。这个伪影的表现就像幽灵一样,产生各种重影,类似凌波微步的表现。



图3~5:Ghosting伪影的表现
一般Ghosting伪影产生的原因主要是硬件系统不稳定导致的。比如:射频系统不稳定、梯度系统不稳定、磁场均匀度等。
还有一种情况就是,比较老的机型进行DWI序列扫描,单激发ssh-EPI的时候,由于系统硬件的原因产生的Nyquist N/2 Ghosting伪影。主要原因是在EPI序列中由于双极梯度快速切换造成失相位和聚相位不能精准。
前文链接:

图6:Nyqusit N/2 ghosting伪影
由于磁共振硬件的升级,这种伪影现在很少见了,主要是在老机型的DWI序列产生。
Ghosting伪影的图像表现是在相位编码方向出现多个连续的重影(幽灵样影像),这种连续的多个重影还是比较好识别的。
如果出现Ghosting伪影,那么解决方案就是联系工程师来解决。
另外,在ACR推荐的磁共振质量保证测试里,也有专门对于ghosting伪影的测试。通过ACR推荐的序列扫描(扫描11层,后面我文章会写)。

图7:Ghosting伪影机理及测量
采用图第7层T1WI进行测试,具体步骤如下:
① 使用ACR的T1WI图像的第7层(如图6-13)。
② 在图像上划一个大的圆形的感兴趣区(ROI),这个感兴趣区(ROI)面积应该在195cm2~205cm2之间,将这个ROI置于图像的中心,但是不要包括图像中出现的任何小黑方块区域。记录这个ROI内的平均像素值。
③ 沿着视野的4个边框,放置4个椭圆形或者矩形的ROI,注意这4个ROI不要挨着图像,如图6-13。这4个ROI的长宽比例应该为4:1,面积大约为10cm2。4个ROI分别放置在图像的这个边:左left、右right、顶top、底bottom。分别记录4个ROI内的平均像素值。
通过下列公式计算重影比率ghosting ratio来评估重影情况:
ghosting ratio = | ( (top + btm) – (left +right) )/( 2 x (large ROI) ) |
公式中top、btm、left、right分别代表顶、底、左、右4个ROI内的平均像素值。LargeROI代表大的ROI内的像素平均值。
重影比例必须小于或等于0.0025(2.5%),如果比例超过0.003(3%),则该项测试失败。
02
射频干扰伪影
射频干扰伪影产生的原因是外界无线电信号干扰产生噪声,在图像重建的时候引入的伪影。一般通过查看原始的K空间数据或者图像表现就能发现。这种伪影表现非常典型,又叫拉链状伪影(Zipper Artefact)。



图8~9:拉链状伪影的表现
这种伪影的表现非常典型,可以说看过的可能一眼就识别了。理论上讲,前面讲的FID伪影也是一种射频干扰伪影,只不过比较轻微。
一般产生射频干扰伪影大部分情况是由于磁共振屏蔽没有做好,此时可以检查屏蔽门或者门是否关闭。另外有没有门对门的两台同样场强的磁共振对着安装设计,如果还没有解决必须请工程师来检测和调试。
03
电火花伪影Spike伪影
电火花伪影,又叫Spike伪影或者灯芯绒伪影,白噪声,斑马线伪影。

图10、11:打火花伪影表现
Spike伪影的表现还是比较典型的,一般称为电火花伪影。问了一下FSE工程师,这个伪影产生原因是,硬件系统不稳定,在采集信号的时候产生一些打火花,然后在图像上表现就是一条线状影。在整个采集信号的过程中,打了多少火花,可能就产生了多少条这种线状伪影。总结一下就是封闭磁体间内某些放电辐射导致斑马线伪影产生。
伪影表现主要为:覆盖整个图像的斑马线状伪影。可为单一方向,也可为多个方向相交排列。可出现在序列的某一幅图像中,也可出现在整个序列。
如果出现这种伪影,解决方案一般是:检查噪声滤波器;检查内部有无松动部件;检查内部电缆。最好的方法就是直接联系工程师。
04
非线性梯度
梯度系统是磁共振空间定位的关键,如果梯度非线性则会导致图像空间定位产生错误,发生图像扭曲、变形。
前文链接:



图12~14:非线性梯度的表现
这种图像非常好识别,就是图像变形、扭曲。
出现这种伪影就必须请工程师来检测梯度和调试。
前文链接:
05
B0场及B1不均匀导致的伪影
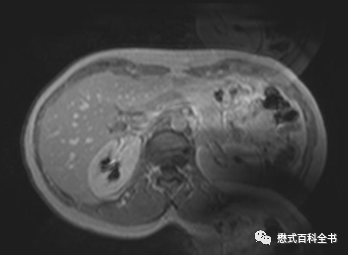
B0场是静磁场,B1场是射频场,如果两个场不均匀会导致图像不均匀,特别是脂肪抑制序列。

图15:B1场不均匀导致的四极电场伪影
特别是在3.0T中,B1场不均匀的情况并不少见,所以在体部容易产生局部图像不均匀。此时一般采用的解决方法包括,在序列上通过启用双源,或者调整参数使得B1场尽量均匀。如果还不行,就需要工程师去调试。
06
线圈或单元通道故障
磁共振扫描需要利用线圈来收信号,而如果线圈产生故障或者线圈单元或通道有问题,则肯定会影响图像,产生伪影。
前文链接:



图16~18:线圈及单元故障导致的伪影
对于多通道线圈,如果某些单元或者通道产生故障,则对应的位置图像信号有异常。一般通过更换线圈、排查能够识别。
解决这种伪影当然从源头入手,更好线圈或者维修线圈。
07

K空间或者原始数据
在判断或者识别伪影的分析过程中,除了通过图像判断,一般还可以根据K空间或者原始数据来判断。这是因为任何磁共振图像都是来源于K空间数据的重建,所以直接检查K空间数据也是非常好的方法。
当然,很多机器一般不开放K空间数据或者用户不是这么方便的查看K空间数据。
前文链接:

图19:正常的K空间(重建的图像没有伪影)

图20:K空间异常(K空间污染)硬件系统,重建图像有伪影

图21:不同伪影的K空间原始数据表现
在飞利浦系统中,如果用户想要查看原始数据,在扫描前需要在序列参数后处理中,选择Save Raw Data。

图22:扫描的时候在Save raw date选择yes
扫描完后,右键点击扫描列表,选择重建模式,延迟重建。

图23:保存了Raw Data后,选择延迟重建

图24:重建模式选择,查看原始数据
本期内容给各位老师简介了磁共振硬件系统相关伪影,一般来说硬件相关的伪影表现都非常明显,虽然处理这些伪影一般都是专业的维修工程师来,但是正确的识别这些伪影也非常重要。
———END———
限 时 特 惠: 本站每日持续更新海量各大内部创业教程,一年会员只需98元,全站资源免费下载 点击查看详情
站 长 微 信: Lgxmw666





