今年2月5日,国家林业和草原局和农业农村部发布的新版《国家重点保护野生动物名录》中,小灵猫升为国家一级保护野生动物。其在上海地区数量极少,主要生活在低山森林、阔叶林的灌木层、树洞、石洞等处,以鼠类、小鸟、蛙、蛇、蜥蜴、昆虫等为主食,也吃植物的树根和果实。
“至少拍到两只。”复旦大学生命科学学院研究员王放表示,仅从尾巴来看,一只长一点,一只短一点,也有可能拍到了不止两只,但因为小灵猫为独居夜行性动物,昼伏夜出,晚间拍摄效果较差,且其体型较小,活动速度较快,很难根据所拍小灵猫的身上花纹等特征做更进一步的精确个体识别。
上世纪末普查:已经绝迹
记者查阅资料发现,近几十年尤其是近十年,小灵猫在上海的记录少之又少。
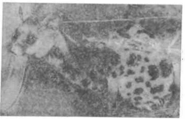
1992年2月,家住新桥路的两位居民去洗菜时,发现一只灰黑色的“狐狸”在水斗里喝水。一阵追逐后,有居民用脸盆扣住了它,还有居民称邻居家两只公鸡很可能是被它咬死的。后送至上海自然博物馆,经专家鉴定,这只“狐狸”其实是小灵猫。


1992年2月,被居民抓住的小灵猫 顾力华 摄
2005年3月的一个晚上,宝山区一位居民发现了一只“有些像猫又有些像黄鼠狼”的小动物,当时它因后腿受伤已几乎昏厥。次日,这只可怜的小动物被野生动物保护管理站的工作人员护送到上海动物园,接受隔离治疗、检疫及观察,才发现是当时的国家二级保护动物小灵猫。

2005年6月,浦东新区唐镇一村民在唐镇工业开发区一未开发地块内的小河边用网捕捉龙虾时,意外捕获一只形似家猫的野生动物,经浦东新区林业站工作人员鉴定为小灵猫。经测量,这只小灵猫足有4千克重,体长60多厘米。之后,这只小灵猫在外环绿带中被放生。
上世纪末,由原上海市农林局野生动植物保护管理处牵头的一项野生动物资源大普查结果显示麝香是什么动物身上的,国家重点保护动物小灵猫在上海已经绝迹。
保持距离就是最大的保护

小灵猫“重出江湖”,让专家学者喜出望外。
王放透露,已组织研究团队对上海新江湾城地区的小灵猫现状开展调查。本周,15台红外相机将分别放置在区域内小灵猫很可能出现的点位。通过三四个月的观察,争取发现小灵猫并统计出该地区小灵猫的数量及分布情况。
对于小灵猫在上海长时间的“沉寂”,并没有太多研究资料来解释原因。

王放认为,很可能是小灵猫对人类干扰过于敏感,无法适应上海灌丛、草丛等生态环境较少的城市环境,也可能与早期人们缺乏野生动植物保护意识,滥捕滥杀有关。
据介绍,小灵猫有高度发达的囊状香腺,灵猫香与麝香、龙涎香、河狸香并称“四大动物香”,这一度让野外的小灵猫难逃厄运。时至今日,国内仍有一些地方将野生小灵猫视作“野味”。


去年,浙江温州泰顺乌岩岭国家级自然保护区综合科学考察队通过红外相机首次拍到了小灵猫的身影,这也是近30多年来浙江省内首次获得野生小灵猫的影像记录 图片来源:新华社
“我们对小灵猫的了解还远远不够。”王放表示麝香是什么动物身上的,同样是城市,但在越南、老挝等东南亚国家的一些城市,野生小灵猫却能适应下来,繁衍生息,形成种群。这不禁让人憧憬,未来,在大家的保护下,新江湾城地区是不是也能留住并“养活”小灵猫,成为新世纪以来上海第一个小灵猫成规模的野外栖息地。
这一切还有待观察和探究,在有结论前,上海野生动植物保护部门还是呼吁广大市民克制住好奇心,不要去寻找小灵猫,避免对本就十分脆弱的生境造成难以预料的干扰和破坏。
就算偶遇小灵猫等野生动物
也不要去触摸、喂食,和它们保持距离
给它们空间、自由,就是对它们最大的保护
———END———
限 时 特 惠: 本站每日持续更新海量各大内部创业教程,一年会员只需98元,全站资源免费下载 点击查看详情
站 长 微 信: Lgxmw666





