英尺英寸厘米_6英尺1英寸是多少厘米_英寸尺和厘米的换算公式

特雷西亚·费舍尔 (Theresia Fischer),是一位生活在德国汉堡的模特。从照片可以看到,现年31岁的她拥有一双名副其实的大长腿,却也称不上很美6英尺1英寸是多少厘米,毕竟上面伤痕累累的。

让很多人难以想到的是,正是这些伤痕,才促成了特雷西亚的大长腿,她为此吃尽了苦头。《每日邮报》在当地时间8月31日对特雷西亚进行了关注,进而也得知,她并不以自己的长腿为傲,反而还有些后悔……

英尺英寸厘米_6英尺1英寸是多少厘米_英寸尺和厘米的换算公式

英寸尺和厘米的换算公式_6英尺1英寸是多少厘米_英尺英寸厘米

这是原来的特雷西亚,腿型也是不错的,尽管没有现在看起来那般“惊人”。

报道称,在成年后特雷西亚的身高是5英尺6英寸,约1米68,虽说不太可能当上T台模特,但作为平面模特,工作的机会也是不少的。

但特雷西亚还是决定“断骨长腿”,她先后接受了两次手术,除了身体上的痛苦之外,她还为此支付了128,000英镑(约118万RMB)的费用。

6英尺1英寸是多少厘米_英寸尺和厘米的换算公式_英尺英寸厘米

6英尺1英寸是多少厘米_英寸尺和厘米的换算公式_英尺英寸厘米

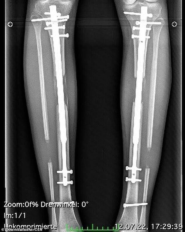
众所周知,人类在成年之后,基本上是不会再长个儿了,除非用非常的手段,“断骨长腿”就是其中之一,好听的说法就是“腿部延长术”。

“在手术过程中6英尺1英寸是多少厘米,胫骨被干净地折断,小腿肌肉被分开,并且每次都使用伸缩杆,”特雷西亚在接受采访时这样解释了手术的过程。“你可以用一只手握住膝盖,用另一只手向内拧动脚,直到听到咔哒声,从而独立地伸展小腿。每天每侧点击十次,就会增加0.5毫米。”

6英尺1英寸是多少厘米_英尺英寸厘米_英寸尺和厘米的换算公式

6英尺1英寸是多少厘米_英尺英寸厘米_英寸尺和厘米的换算公式

特雷西亚在24岁时接受了第一次手术,双腿变长了约8.3厘米。去年3月她又进行了第二次手术,这一次延长了5.3厘米。两次加起来共13.6厘米(约14厘米),也让她一跃成为了拥有超过1米8身高的女士,再加上“恨天高”的高度,妥妥是身高2米的“大女人”了。

英寸尺和厘米的换算公式_6英尺1英寸是多少厘米_英尺英寸厘米

特雷西亚称自己原本根本就不知道什么“断骨长腿”的方式,这是她的前夫托马斯·贝伦德 (Thomas Behrend) 告诉她的。

“你知道我喜欢高个子的女人,所以我希望你能接受这个,最多可以增高14厘米,”特雷西亚称当时托马斯就是这么告诉她的。“如果你被告知20次、30次、60次、70次,那么你就会相信。”

一方面是被托马斯“洗脑”了,另一方面也为了让丈夫高兴,特雷西亚忍受着痛苦,变高了。

6英尺1英寸是多少厘米_英尺英寸厘米_英寸尺和厘米的换算公式

“如果没有托马斯的纠缠,我永远都不会接受这个手术。以前我一直都对自己的身体感到满意,”特雷西亚如今这样说道。“我感到羞愧,因为我从一开始就不应该接受这个手术。”

而更令人唏嘘的是,为了迎合丈夫而做出让自己后悔事情的特雷西亚,却在经历了第二次手术半年后,宣布跟托马斯分居,婚姻已经无法挽回了。

英尺英寸厘米_英寸尺和厘米的换算公式_6英尺1英寸是多少厘米

现在特雷西亚也向前看了,她说自己之所以接受第二次手术,是为了让双腿更加灵活,好在达成所愿了。

此外她现在还和过去的男朋友斯特凡,重新燃起了爱情之火,很是甜蜜。

———END———
限 时 特 惠: 本站每日持续更新海量各大内部创业教程,一年会员只需98元,全站资源免费下载 点击查看详情
站 长 微 信: Lgxmw666